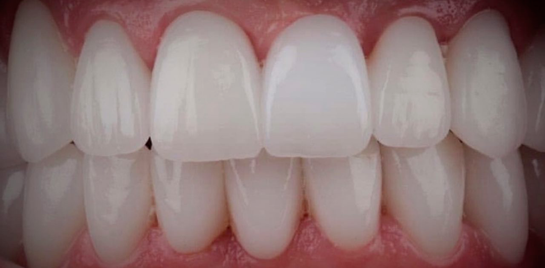
Протезы, которые выглядят естественно.

⏰ Акция до:

00
Часов
00
Минут
00
Секунд

⏰ Акция до:

00
Часов
00
Минут
00
Секунд
результаты, формирующие доверие
Orbit Cards
10+ лет опыта
// уверенность, подкрепленная практикой
100% цифровой процесс
// точность, на которую можно положиться
99%
// довольных пациентов
Более 100
// восстановленных улыбок
99,8%
// приживаемость протезов
10+ лет опыта
Записать на консультацию
// уверенность, подкрепленная практикой
100% цифровой процесс
// точность, на которую можно положиться
99%
// довольных пациентов
Более 100
// восстановленных улыбок
99,8%
// удовлетворённость пациентов
Этапы установки протезов
Протезирование помогает вернуть утраченные зубы и восстановить комфорт на долгие годы.
Протезирование в DENTAL FORMULA
Современное оборудование и технологии: использование 3D снимков и компьютерной томографии (КT) для максимально точного планирования лечения.
Комплексный подход и широкий спектр услуг
Предоставление официальной гарантии на все виды лечения
Удобное местоположение, возможность записи в удобное время
Врачи с многолетним стажем: регулярное прохождение курсов, мастер-классов и стажировок, подтвержденное сертификатами.
Это самый популярный и доступный вид съемного протезирования.Они недорогие и простые в изготовлении. Изготавливаются из прочного акрилового пластика, который хорошо имитирует
естественную зубную
эмаль.
Акриловые
Бюгельные
Это улучшенный вариант частичных съемных протезов. Благодаря металлическому каркасу, они прочные, миниатюрные и хорошо фиксируются, помогая даже удерживать подвижные зубы.
Квадротти
По принципу изготовления и способу фиксации она аналогична бюгельному протезу, но отличается материалом. Вместо металла используется ацетал – безмономерная пластмасса «Dental-D», обладающая высокой прочностью, полной гипоаллергенностью и легкостью.
Мостовидные
Виды зубных протезов
Протез не снимается и жестко фиксируется на опорных зубах, на которые предварительно устанавливаются коронки.Для установки моста необходимо обтачивать опорные зубы, что является недостатком, если эти зубы полностью здоровы.

Иммедиат
Известный также как «бабочка» или «жучок», этот временный протез используется для замещения зубов. Он устанавливается на определённый период и необходим для поддержания жевательной функции, сохранения эстетики и предотвращения смещения соседних зубов.
Изготавливаются из прочного акрилового пластика, который хорошо имитирует
естественную зубную
эмаль.
Это частично съемные протезы. Благодаря металлическому каркасу, они прочные, миниатюрные и хорошо фиксируются, помогая даже удерживать подвижные зубы.
Протез не снимается и жестко фиксируется на опорных зубах, на которые предварительно устанавливаются коронки.
Временный протез используется для замещения зубов. Для поддержания жевательной функции.
Предоставляемые услуги
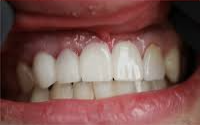
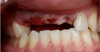
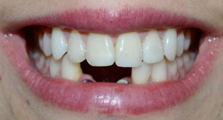
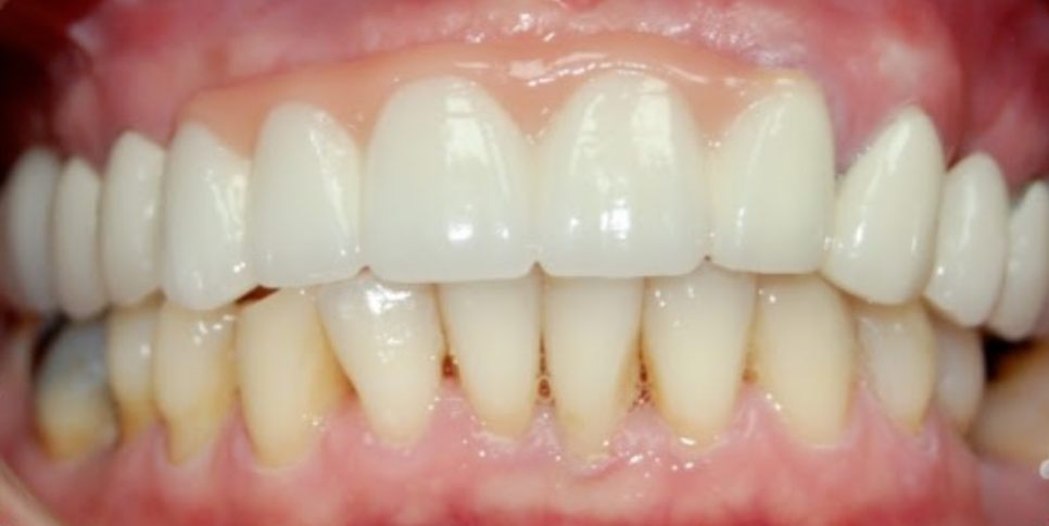
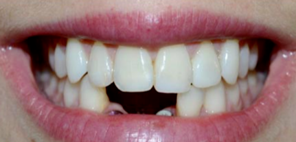
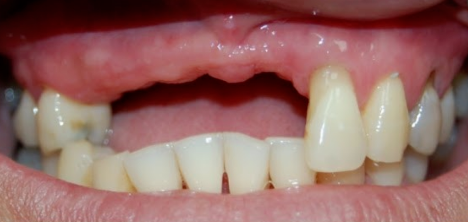
Наши работы: трансформация улыбок до и после
До / После
До / После
До / После
До / После
Алина 50 лет
Протезирование на имплантах
Алексей 50 лет
Мостовидные протезы
Игорь 40 лет
Мостовидные протезы
Петр 48 лет
Мостовидные протезы
Оставьте заявку на Бесплатную консультацию
Мы подберем оптимальное решение для вашей улыбки и бюджета.
Наши эксперты по идеальной улыбке
  • Лечение кариеса
  • Эндодонтия
  • Диагностика и профилактика
Борщаговский Сергей Геннадиевич
Специализация
Оказываемые услуги
  • Протезирование зубов
  • Установка коронок
  • Мостовидные протезы
Стоматолог - ортопед
Стаж работы: 32+ лет
Мануйлов Юрий Анатольевич
Мы следуем высоким стандартам качества и учитываем индивидуальные особенности каждого пациента. Такой подход обеспечивает нам доверие тысяч людей и помогает создавать идеальные улыбки.
Специализация
Оказываемые услуги
  • Профессиональная гигиена
Главный врач ,врач терапевт
Стаж работы: 36+ лет
Записаться на прием
Записаться на прием
  • Имплантация зубов
  • Протезирование зубов
  • Установка коронок
  • Имплантация зубов
Нагоев Азамат Хасанбиевич
Специализация
Оказываемые услуги
  • Протезирование зубов
  • Установка коронок
  • Мостовидные протезы
Стоматолог-ортопед
Стаж работы: 11+ лет
Рябцовских Николай Михайлович
Специализация
Оказываемые услуги
  • Мостовидные протезы
Стоматолог-ортопед
Стаж работы: 37+ лет
Записаться на прием
Записаться на прием
  • Имплантация зубов
Dental Formula — современный стоматологический центр в Томске, где профессионализм врачей подтверждён многолетним опытом и регулярным повышением квалификации.
В клинике Dental Formula особое внимание уделяется вашей безопасности: строгая стерильность и тщательная обработка инструментов являются нашими неизменными приоритетами.
Мы работаем ежедневно с 10:00 до 20:00, чтобы вы могли получить качественную стоматологическую помощь в удобное для вас время.
Забота и доверительная атмосфера

Наши специалисты сопровождают вас на каждом этапе лечения, создавая комфортные условия и поддерживающую атмосферу. Мы уделяем внимание вашим ощущениям и пожеланиям, чтобы протезирование прошло максимально легко и уверенно.
О Клинике Dental Formula
Почему выбирают нас?
Мы поможем вернуть здоровье и красоту вашей улыбке, обеспечив индивидуальный подход и качество, которому можно доверять.
Комплексный подход к протезированию

Мы стремимся обеспечить каждому пациенту максимально функциональный, комфортный и эстетичный результат. В основе нашей работы — современные технологии, индивидуальный подбор конструкций и продуманное планирование лечения, позволяющее восстановить здоровье и гармонию вашей улыбки.
Комплексный подход к протезированию

Мы обеспечиваем каждому пациенту функциональный, комфортный и эстетичный результат, используя современные технологии, индивидуальный подбор конструкций и продуманное планирование лечения.
Инновационные технологии и оснащение

В протезировании используем сертифицированные материалы, точную цифровую диагностику и современное оборудование, что обеспечивает высокую точность, безопасность и долговечный результат.
можно доверять.
Протезирование зубов
АКция
ВЫГОДНО И НАДЕЖНО
Успейте оформить заявку на протезирование по особой стоимости.

ОТЗЫВЫ НАШИХ ПАЦИЕНТОВ

НАШИ Контакты

ООО «Дентал Групп»

ИНН 7000011830

г. Томск Дальне-Ключевская улица, 113а

Политика конфиденциальности
*Имеются противопоказания, необходима консультация специалиста

© Все права защищены.

Мы используем cookie для работы сервиса. Вы можете их отключить или продолжить, согласно политике конфиденциальности.
OK
Made on
Tilda